Sobre mim

Minha missão é oferecer um tratamento ortopédico humanizado, ético e eficiente

Sou médico formado pela USP, com residência em Ortopedia e Traumatologia pelo HCFMUSP e subespecialização em Cirurgia do Quadril. Membro da SBOT e SBQ, meu foco é oferecer tratamentos humanizados, aliviando dores e promovendo mobilidade e qualidade de vida...

"Aliando tecnologia e experiência para procedimentos seguros e eficazes."

Meus artigos

Se você precisa de uma artroplastia total do quadril e busca um procedimento de alta precisão, a cirurgia robótica pode ser a melhor opção...

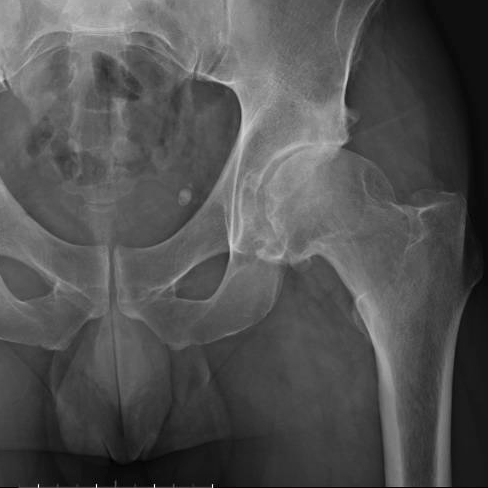
A artrose do quadril, também conhecida como osteoartrite do quadril ou coxartrose, é uma doença em que ocorre o desgaste da cartilagem da articulação do quadril...

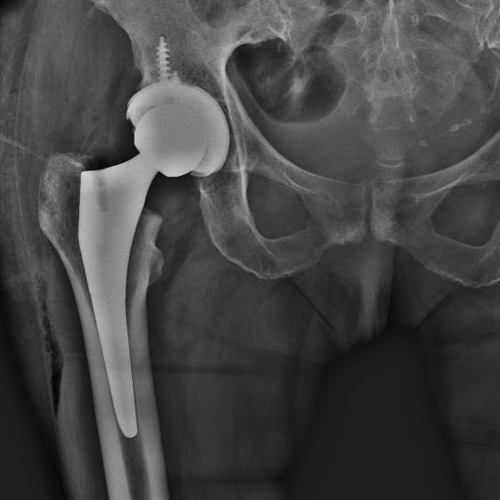
A artroplastia total do quadril (ATQ) é um dos procedimentos mais eficazes na ortopedia para restaurar a mobilidade e aliviar a dor em pacientes...

A tendinopatia glútea e as bursites do quadril, conhecidas em conjunto como Síndrome Dolorosa do Grande Trocânter (GTPS)...

As fraturas do terço proximal do fêmur, que incluem as fraturas de colo do fêmur e as fraturas transtrocantéricas, são lesões graves que afetam a região do quadril e podem ter...

Se você sente dor no quadril, especialmente ao praticar esportes ou realizar movimentos específicos, pode estar lidando com o Impacto Femoroacetabular (IFA)...

Atendimento WhatsApp

Olá! Para agendar a sua consulta, informe o seu nome, e-mail e telefone para iniciarmos uma conversa pelo WhatsApp.